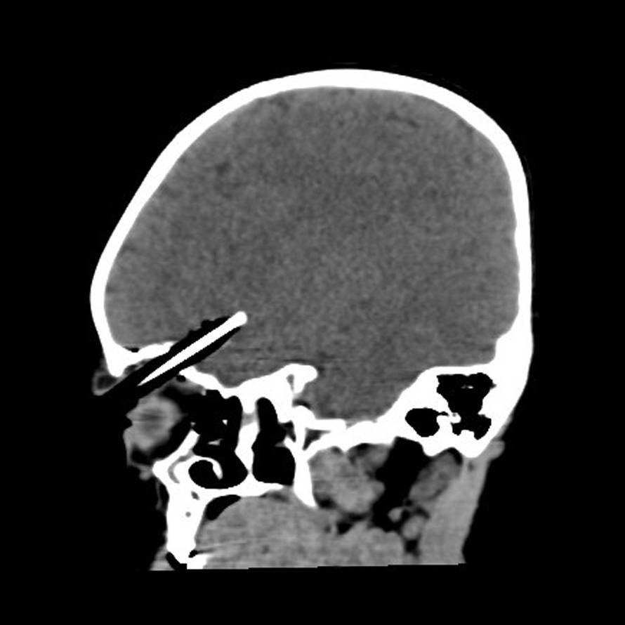
Velika Britanija: Curica je trčala u susjednu sobu da bi roditeljima pokazala svoju sliku. Spotaknula se i olovka joj se zabila u mozak. Operirali su je četiri sata
Dramatična snimka iz zadarskog kanala: Tornadična pijavica!
Iz Vjesnika je opet sukljao dim
Iskoristi svoj Oranž